Calcificación en el tendón: causas, síntomas y tratamiento con fisioterapia
Si te han dicho que tienes una calcificación en el hombro, notas dolor al levantar el brazo o te despiertas por la noche, este contenido te ayudará a entender qué está pasando y qué opciones de fisioterapia existen para mejorar.
Fidel Lorenzo
3/15/20265 min read
Calcificación en el tendón: causas, síntomas y tratamiento con fisioterapia
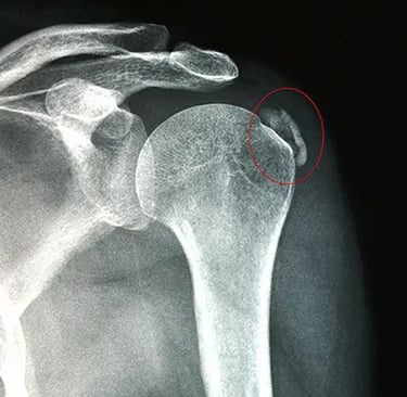
Cuando hablamos de “calcificaciones” en fisioterapia, casi siempre nos referimos a la tendinopatía calcificante: depósitos de cristales de calcio (habitualmente hidroxiapatita) dentro de un tendón.
Lo más típico es el hombro (manguito rotador) y el espolón calcáneo, aunque también puede aparecer en otras zonas como el tendón rotuliano de la rodilla o en el epicóndilo.
Lo importante es entender esto: una calcificación no siempre duele, y cuando duele no es solo por “tenerla ahí”, sino por la fase en la que se encuentra el tendón y la reacción del cuerpo alrededor.
¿Qué ocurre en el tendón? (fisiología explicada fácil)
El tendón es un tejido vivo que se adapta a la carga. En algunas personas, por motivos que pueden incluir sobrecarga, cambios del tejido y factores metabólicos/hormonales, se produce una respuesta donde se forman depósitos de calcio dentro del tendón.
De forma sencilla, el proceso suele pasar por fases:
1) Fase de formación
Se va creando el depósito en el tendón. A veces da molestias leves o incluso ninguna.
2) Fase de reposo
La calcificación se “estabiliza”. Puede quedar silenciosa o dar dolor intermitente, sobre todo con ciertos movimientos o esfuerzos.
3) Fase de reabsorción (la más dolorosa)
El cuerpo intenta “deshacer” esa calcificación. Suele haber más irritación local y es cuando muchas personas notan el peor dolor: dolor nocturno, pérdida de movilidad y limitación funcional (por ejemplo, vestirse, dormir del lado afectado o levantar el brazo si es en hombro).
Tratamiento de calcificación en el hombro: valoración y plan en clínica
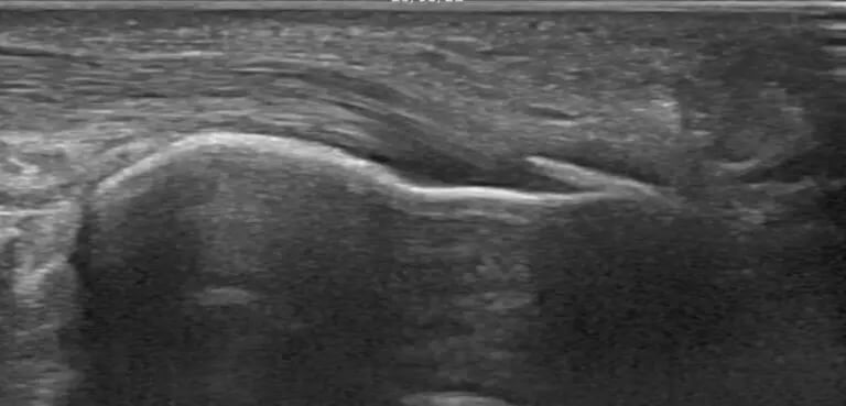
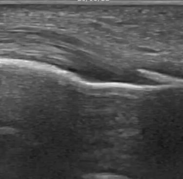
Además de la exploración física y los test diagnósticos, la ecografía nos ayuda a: localizar el depósito, valorar el estado del tendón y de los tejidos alrededor, elegir el tratamiento más adecuado y controlar la evolución.
Tratamiento en Fisioterapia Argoños: EPI + diatermia + ondas de choque focales diamagnéticas
Si te limita al dormir, vestirte, trabajar o entrenar, te hacemos una valoración + ecografía y diseñamos un plan combinado con ondas de choque focales diamagnéticas (Periso), EPI, diatermia y un programa de ejercicio progresivo para consolidar el resultado.






Las ondas de choque focales son una herramienta muy utilizada en calcificaciones, especialmente en hombro. Buscamos reducir dolor, mejorar función y movilidad y favorecer cambios en el tejido para que el proceso avance.
En nuestra clínica trabajamos con ondas de choque focales diamagnéticas (Periso), ajustando intensidad y focalización según tu tolerancia y el tipo de calcificación.


EPI (Electrólisis Percutánea Intratisular) ecoguiada
La EPI se realiza con guía ecográfica para aplicar un estímulo local muy preciso en el tendón.
En casos seleccionados, se utiliza para estimular una respuesta de reparación controlada, mejorar la calidad del tejido y acompañar el proceso con una progresión de carga adecuada.


Diatermia
La diatermia la usamos como apoyo para disminuir dolor, mejorar la tolerancia del tejido, facilitar movilidad y preparar el trabajo activo (ejercicio).
Lo más importante: el ejercicio terapéutico
Las técnicas ayudan, pero lo que más consolida la recuperación es un plan de ejercicio bien pautado. El objetivo del ejercicio es recuperar fuerza y capacidad del tendón, mejorar el control del movimiento, aumentar tolerancia a la carga (trabajo, deporte, vida diaria) y reducir recaídas.




PREGUNTAS FRECUENTES SOBRE LA CALCIFICACIÓN
En ciertas fases (sobre todo la de reabsorción) el tendón y las estructuras cercanas están más irritables. Al tumbarte, cambian las presiones y la postura del hombro (u otra zona), y puede aumentar la molestia, por eso mucha gente lo nota especialmente al dormir.
¿Por qué una calcificación duele más por la noche?
¿Las calcificaciones desaparecen?
A veces se reabsorben parcial o totalmente con el tiempo. Cuando dan síntomas, el tratamiento busca mejorar dolor y función y ayudar a que el proceso evolucione.
¿La calcificación se puede “romper” o “deshacer” con fisioterapia?
No hablamos de “romperla” como si fuera una piedra. El objetivo es modular dolor, mejorar la función y favorecer que el tejido evolucione. Las ondas de choque focales se usan precisamente porque pueden ayudar a mejorar síntomas y facilitar cambios en el tendón según el caso.
Depende de la fase, el tamaño del depósito, tu nivel de irritación y la constancia con el ejercicio. Normalmente se trabaja por bloques de varias semanas, con reevaluación para ajustar intensidad y progresión.
¿Cuánto tiempo tarda en mejorar una calcificación en el hombro?
¿Cómo sé si mi dolor es por calcificación o por otra lesión?
Los síntomas pueden parecerse a otras tendinopatías o bursitis. Por eso es importante una valoración con exploración y, si procede, ecografía para confirmar el origen del dolor y elegir el tratamiento adecuado.
En muchos casos sí, pero con modificaciones. El objetivo no es “parar”, sino adaptar la carga: elegir ejercicios tolerables, ajustar rangos de movimiento y progresar poco a poco para que el tendón se haga más fuerte sin reactivar el dolor.
¿Puedo entrenar o hacer gimnasio con una calcificación?
Lo más útil suele ser evitar reposo absoluto y seguir pautas de movimiento/ejercicio adaptadas. Mantener cierta actividad (sin provocar dolor intenso) ayuda a que el tendón recupere capacidad. En clínica te indicamos qué movimientos sí y cuáles no según tu caso.
¿Qué puedo hacer en casa si tengo una calcificación?


Contacto:
Estamos aquí para ayudarte a sentirte mejor
Teléfono
© 2025. All rights reserved.


